診療案内service
- HOME
- 診療案内
診療案内
(歯科医院様)
患者様をご紹介いただく
歯科医院の先生へ

当院は、歯内治療に特化した専門のクリニックですので、歯内治療後の補綴処置は一切行いません。当院にて処置後は、必ず紹介していただいた歯科医院様にお帰りいただいています。
歯内治療後の補綴処置を、安心して進めていただけるよう尽力いたします。貴院、患者様、当院の3者のすべてが有益な関係を築けるシステムと考えています。
初回根管治療
病変のない初回根管治療の成功率は非常に高く、このステージで根管治療が成功すれば、歯質も十分温存でき、貴院にて補綴処置後も再治療が必要になることは少なくなり、患者様、貴院双方に恩恵は大きいと考えています。
再根管治療
破折ファイルの除去や、パーフォレーションリペアなど、高度な根管治療に対応しております。貴院と患者様の関係を良好につなぐよう配慮して、患者様にカウンセリングを行います。
歯髄保存療法
従来、不可逆性歯髄炎と診断される症例でも、部分断髄など歯髄保存療法により歯髄を保存できる可能性があります。診査・診断が非常に重要となりますので、抜髄をするか迷われる症例はぜひご紹介ください。
外科的歯内療法
根管治療が奏功しない症例では、外科的歯内療法へ移行します。歯根端切除術が適応できない症例では、意図的再植にて対応いたします。
アドバンスケース
歯根吸収、エンドペリオ、外傷歯、根未完成歯、歯内歯、再生歯内療法など、アドバンスケースにも対応いたしますので、ぜひご相談ください。
Q&A(歯科医院様向け)
- Q 根管治療の成功率はどれくらいですか?
-
A初回治療(根管治療されていない状態からの治療)では、おおむね、病変なしの場合90%、病変ありの場合80%、再根管治療では70%、外科的歯内療法(歯根端切除術、意図的再植)では90%と言われています。根管治療が奏功しなくとも、外科的歯内療法まで行えば、多くの症例で根尖性歯周炎はマネージメントできます。
- Q 根管治療が奏功しなかった場合、もう一度根管治療を行いますか?
-
Aいいえ、根管治療を一度行い奏功しなかった場合は速やかに外科的歯内療法へ移行します。ですので、根管治療後に補綴を除去することは基本的にございません。
- Q 根管治療は何回かかりますか?
-
A1~2回です。稀に3回かかることもあります。
- Q 補綴を除去せず根管治療は可能ですか?
-
A基本的には補綴物を除去して根管治療を行います。しかし、理由によっては、補綴物にアクセスホールのみ、または、外科的歯内療法のみで対応いたします。
- Q 歯根破折の疑いがある症例はどうしたらいいですか?
-
A破折状況によりますが、縦破折の場合は保存不可能の可能性もあります。歯根破折の診査も承ります。
- Q 補綴はどのタイミングで行えばいいですか?
-
A歯根端切除術の後は、歯肉退縮による審美障害の可能性があります。歯肉退縮が問題とならない症例では、根管治療後にすみやかに補綴処置を行なっていただいて構いません。
根管治療後に意図的再植の可能性がある症例(7番、下顎管の近接を認める症例など)では、根管治療の3ヶ月後に再評価を行いますので、それまでは補綴処置はお待ちください。
また、患者様には、ご紹介いただいた歯科医院様に必ずお帰りいただくよう、術前に同意していただいたうえで治療を始めますのでご安心ください。
- Q 歯髄保存療法の依頼の際は、どのようにすればいいですか?
-
A露髄をさせてしまう前にご紹介いただいたほうが、予知性は高いと思われます。歯髄保存療法のご紹介の際は、覆髄まで当院にて行いますので、その後の修復は貴院にてお願いいたします。
診査のみの依頼はお受けできかねますのでご了承ください。
患者様のご紹介について
当院では、歯内治療を専門に行うクリニックとして、高度な歯内療法が必要な患者様のご紹介を承っております。
歯内療法以外の治療は行いませんので、ご紹介いただいた患者様は、根管治療が完了後、必ずご紹介いただいた歯科医院様にて補綴処置を行っていただきます。
ご紹介いただける先生方のご負担を軽減し、患者様にもご満足いただく治療を心掛けております。
下記のWEBフォームより送信いただくか、下記より紹介状をダウンロードしていただき、必要事項をご記入の上、FAXにてお送りください。
紹介状を受け取りましたら、内容をもとに、患者様へ当院よりご連絡いたします。
診療案内
(患者様)
当院で治療を受けられる患者様へ

当院は、歯内治療に特化した専門クリニックです。
患者様にとっては、歯内治療がどういった治療か、なぜ大切なのかといったことは、とても分かりづらいかと思います。
近年、歯内治療の重要性、そして困難性というものが、一般開業歯科の先生方もご理解いただけるようになってきました。
わからない点は、ぜひ、かかりつけの先生にご相談ください。
歯内治療とは
歯内治療とは、根の先の病を治す、または予防する治療で、歯を抜かずに残すための治療方法です。この根の先の病気の原因は、歯の内部に侵入してしまった細菌が原因です。ですので、この歯の内部の細菌をコントロールすることができれば病気は治ります。
歯内治療には、根管治療、外科的歯内療法、歯髄保存療法などの治療法があります。
根管治療とは
歯の内部の空洞を根管といいます。根管に細菌が侵入してしまうと根の先に病気ができてしまいます。この根管内の細菌を除去するのが根管治療です。
根管というのは、ひとつとして同じ形のものはなく、非常に複雑な形態をしています。こういった複雑な隙間に細菌が入り込んでしまうと、すべての細菌を除去することが難しくなります。すべての細菌を除去できなくても、ある閾値以下まで細菌数を減らすことができれば、根の先の病気は治ります。
| メリット | デメリット |
|---|---|
| ・抜歯をせずに済む ・痛みなどを感じなくなる |
・歯の感覚を失うため、再発しても症状を自覚できない ・数回の通院が必要になる |
| 主な副作用とリスク |
|---|
| ・根管治療が奏功しない場合、外科的歯内療法へ移行します。 |
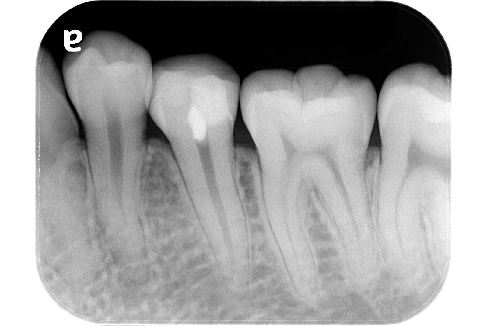
治療例 写真とレントゲン

治療前

治療後
※治療例に記載の情報はあくまでも症例に対してのものとなります。
| 費用 | 隔壁 11,000円(税込) |
|---|---|
| 初回根管治療 大臼歯 143,000円(税込) | |
| 支台築造 レジンコア 11,000円(税込) | |
| 治療期間 | 1週間 |
| 治療回数 | 2回 |
| 主な副作用とリスク | 根管治療が奏功しなかった場合、外科的歯内療法へ移行します。 |
外科的歯内療法
根管治療により、ある閾値以下まで細菌を減らすことができない場合、次の手として外科的歯内療法という手段をとります。根の先を外科的に切除することにより、細菌を除去するという治療です。
| 主な副作用とリスク |
|---|
| ・歯肉が退縮するリスクがあります。 |
治療例 写真とレントゲン

治療前

治療後
※治療例に記載の情報はあくまでも症例に対してのものとなります。
| 費用 | 外科的歯内療法 (1年以内) 143,000円(税込) |
|---|---|
| 治療期間 | 1日 |
| 治療回数 | 1回 |
| 主な副作用とリスク | 術後に歯内退縮を起こすことがあります。 歯根破折を認めた場合、保存不可能と判断する場合があります。 |
歯髄保存療法
虫歯が進行すると侵入した細菌により歯の神経が壊死して根管治療が必要になります。しかし、歯の神経のダメージがまだ軽度の段階では、悪い神経だけ部分的に除去して、健全な神経を残すことができます。
近年、神経をとらなければいけないという基準が変わってきており、神経を残すことができる可能性が広がってきています。
| 主な副作用とリスク |
|---|
| ・成功率100%ではなく、結果が伴わなかった場合は根管治療へ移行となるケースもあります。 |
治療例 写真とレントゲン

治療前

治療後
※治療例に記載の情報はあくまでも症例に対してのものとなります。
| 費用 | 部分断断髄 44,000円(税込) |
|---|---|
| MTA 5,500円(税込) | |
| 治療期間 | 1日 |
| 治療回数 | 1回 |
| 主な副作用とリスク | 歯髄保存療法が奏功しなかった場合、根管治療へ移行します。 根管治療が必要となった場合、修復物を除去することがあります。 |
Q&A(患者様向け)
- Q 治療が終わった後の被せ物はしてもらえますか?
-
Aいいえ、当院では歯内治療のみ行いますので、それ以外の一般治療は行っておりません。かかりつけ、またはご紹介いただいた歯科医院にて追加処置を受けていただきます。
- Q 紹介状がなくても診てもらえますか?
-
Aはい、紹介状がなくても歯内治療は対応できますので、ぜひご相談ください。
まずは、050-5369-5638までお問い合わせください。
- Q 保険診療で対応してもらえますか?
-
A申し訳ございません、当院では自費診療のみでの対応となります。しかし、専門的な治療により、歯を残すことができる、再治療を避けることができることは、費用対効果は高いと考えています。
- Q 根の先の病気が原因で抜歯となることはありますか?
-
A根管治療の成功率は100%ではありません。しかし、次の手としての外科的歯内療法を行うことで多くの根の先の病気は治すことができます。
- Q 歯を抜かなければいけない時は、どういったときですか?
-
A歯周病や歯根破折など、さまざまな状況が考えられます。歯の予後に最も影響するのは、歯の残っている量です。歯の量は、再治療を繰り返すことで失われていきます。ですので、いかに再治療を繰り返さないようにするかが重要です。
- Q 根管治療で治らない場合、もう一度根管治療をしますか?
-
A専門的な根管治療を行なった場合、もう一度根管治療を行うことはしません。外科的歯内療法にて対応します。ですので、当院で根管治療をした場合、根の先の病気を理由に被せ物を除去することはありません。
- Q 根管治療はどのくらいの回数がかかりますか?
-
A1~2回です。3回かかる場合も稀にあります。
- Q 分割払いはできますか?
-
Aはい、デンタルローンを導入していますので、お好きな分割回数をお選びいただけます。
大臼歯を12回払いにしたときの例
テキストテキストテキストテキストテキストテキストテキストテキストテキストテキストテキストテキストテキストテキストテキスト
紹介状をお持ちでない方も
ご予約いただけます
紹介状のない患者様も、受診可能です。当院は歯内治療を専門とするクリニックですので、被せ物の処置には対応しておりません。歯内治療後の追加処置については、一般の歯科医院をご紹介可能です。
まずは、050-5369-5638までお問い合わせください。


